Запись на приём
Запись на консультацию
Ваш город
Ваш город

ИНФЕКЦИИ, ПЕРЕДАЮЩИЕСЯ ПОЛОВЫМ ПУТЕМ

Они наносят большой вред здоровью человека. Именно поэтому при первых же признаках ИППП рекомендуется незамедлительно обращаться к венерологу, ведь промедление может развить осложнения со стороны различных органов и систем, а также привести к дальнейшему распространению инфекции.

ПОВОДОМ ДЛЯ ОБРАЩЕНИЯ К ВЕНЕРОЛОГУ МОЖЕТ СТАТЬ

  • Зуд (жжение) в области половых органов.
  • Боль в области половых органов.
  • Патологические выделения из половых органов с неприятным запахом.
  • Поражение кожи.
  • Гиперемия (покраснение) слизистых оболочек.
  • Увеличение местных лимфатических узлов.
  • Заболевание полового партнера.

ВЕНЕРОЛОГ ПОМОЖЕТ В ДИАГНОСТИКЕ И ЛЕЧЕНИИ

  • актериальных инфекций, таких как гонореи, микоплазмоза, уреаплазмоза;
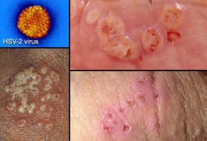
  • Вирусных инфекций – генитального герпеса;
  • Грибковых инфекций – кандидоза;
  • Паразитарных инфекций – чесотки, лобкового педикулеза (вшей).
  • Папилломавирусной инфекции, ВИЧ (вируса иммунодефицита человека), гепатита В, контагиозного моллюска, остроконечных кондилом.
Консультация венеролога включает в себя: сбор анамнеза, осмотр, взятие мазка на ИППП, назначение анализов крови и мочи, рекомендации по лечению после обследования.
Запись на консультацию
Made on
Tilda